Стойкие нарушения в работе внутренних органов и систем заставляют пациентов, которые нуждаются в восстановлении зубного ряда, задуматься над выбором стоматологического метода лечения. Протезирование или имплантация? Конечно же, лучше выбрать второй вариант и навсегда забыть о том, что выпали зубы или их пришлось удалить. Однако пугает вероятность отторжения имплантата. Это не исключено, особенно при активном течении хронических болезней. Специалисты говорят, что риски неблагоприятного исхода повышаются при наличии стойких проблем со здоровьем. Рассмотрим особенности проведения имплантации зубов в Киеве при распространенных хронических заболеваниях.

Имплантацию зубов в Киеве и других городах Украины опытные специалисты проводят только после анализа полной клинической картины. Ранее процедуру не рекомендовали пациентам с сахарным диабетом по причине продолжительного периода приживления и большой вероятности возникновения воспалительного процесса.
Сегодня диабет перестал быть прямым противопоказанием. Современная стоматология позволяет подготовить больного с таким диагнозом к имплантации. Если уровень сахара будет в норме, осложнений не возникнет.
Это частый диагноз у женщин пост- и климактерического периода. В участок кости, пораженной остеопорозом, имплантат не вживляют. Причина – невозможность первичной стабилизации.
Возможна ли имплантация при остеопорозе? Да, при соблюдении следующих моментов:
Если имплантацией занимался профессионал, происходит остановка деструктивных процессов.
Имплантаты однозначно не ставят пациентам после инфаркта. При других сердечно-сосудистых заболеваниях используют современные методики имплантации или ищут более щадящую альтернативу. Главная цель – успешное проведение процедуры без вреда для самочувствия, отсутствие влияния факторов стресса.
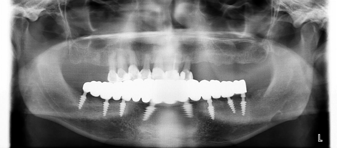
Хорошо себя зарекомендовали методы имплантации MiMi. Их используют в Европейском Стоматологическом центре Киева. Расскажем о некоторых из них. Например, MiMi при помощи пьезохирургии минимально травматичное. Пациент не чувствует боли, не происходит травматизация кости. Данный способ позволяет исключить риски и осложнения даже при наличии проблем с сердцем и сосудами.
Метод MiMi также рассматривают как альтернативу реконструкции кости. Имплантат вживляют без наращивания альвеолярного отростка. Применяют следующие технологии: pterygoid implant и установка конструкции для нижней челюсти без затрагивания каналов.
Этот орган отвечает за гормональный фон человека. От него, в свою очередь, зависит самочувствие, настроение, течение многих внутренних процессов. Если есть заболевания щитовидки, стоматологи анализируют все за и против.
Стойкие нарушения со стороны здоровья – однозначные противопоказания к установке имплантата. Однако это возможно при условии медикаментозной коррекции после стабилизации состояния. Решает не только стоматолог, но и лечащие специалисты.
От упомянутых болезней чаще всего страдают женщины и мужчины после 60 лет. Зрелый возраст – еще одна причина, почему такие пациенты отказываются от имплантации. Это решение нельзя назвать правильным, ведь каждый случай индивидуален. Главное – проконсультироваться с опытным специалистом и внимательно выслушать его рекомендации.
В зрелом возрасте тоже возможно проведение имплантации. Несъемное протезирование – это комфортно, стабильно и удобно. После него улучшается пищеварение, не возникают функциональные расстройства челюстного аппарата.
Источник: сайт www.europe-stomatolog-centre.com.ua
|
Если вы обнаружили ошибку на этой странице, выделите ее и нажмите Ctrl+Enter.
|