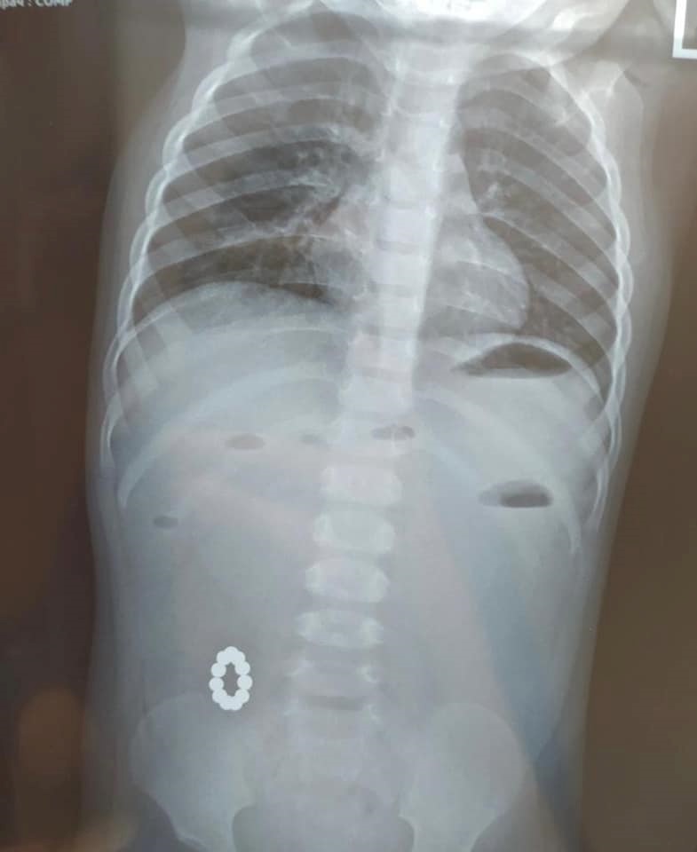
В Харькове годовалая девочка проглотила 11 магнитов, которые соединились между собой в кишечнике и образовали кольцо. Ребенку пришлось делать операцию, сообщила накануне Харьковская областная детская больница №1.
"В нашу больницу была доставлена девочка 1 года с подозрением на пищевое отравление, но при доскональной диагностике были выявлены инородные тела кишечника. А именно – магниты, которые между собой соединились и образовали кольцо", – говорится в сообщении.
Объединенные магниты привели к тяжелой хирургической патологии – непроходимости кишечника. После сложной операции хирургам удалось удалить инородные тела и ликвидировать непроходимость кишечного пути.
Врачи обратили внимание на опасность таких игрушек и призвали родителей быть бдительными при уходе за маленькими детьми.
|
Если вы обнаружили ошибку на этой странице, выделите ее и нажмите Ctrl+Enter.
|